Skip to content
Valhalla Veterinary Radiology

Valhalla Veterinary Radiology

  • Home
  • Radiograph/CT/MRI Request
  • Ultrasound Request
  • Featured Cases

Featured Cases

Featured Cases

Teaching File


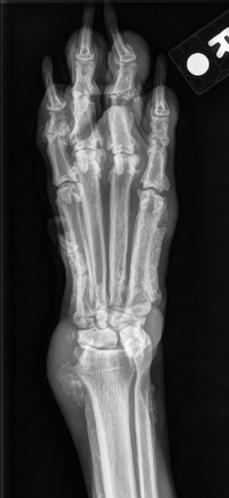
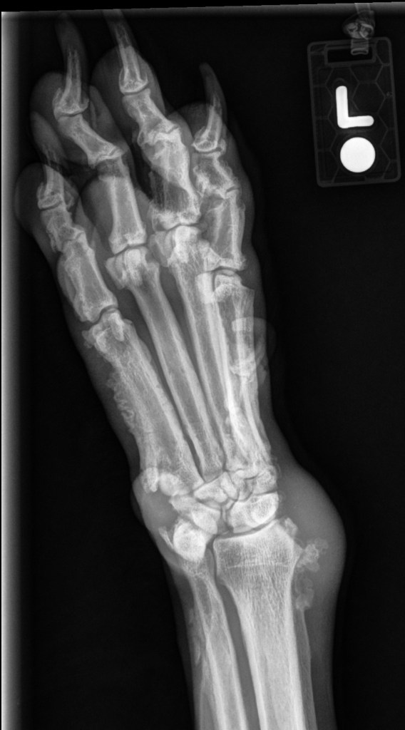
Signalment/History:

9yr FS Large Mixed Breed Dog. Swollen carpi and paws with progressive lameness.

Advance to next page to compare findings to yours

Share this:

  • Share on X (Opens in new window) X
  • Share on Facebook (Opens in new window) Facebook
Like Loading...
Pages: 1 2 3 4
Valhalla Veterinary Radiology, A WordPress.com Website.
    • Valhalla Veterinary Radiology
    • Sign up
    • Log in
    • Copy shortlink
    • Report this content
    • Manage subscriptions

Loading Comments...

    %d