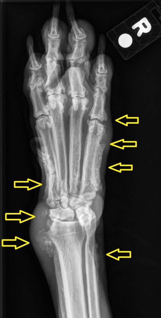
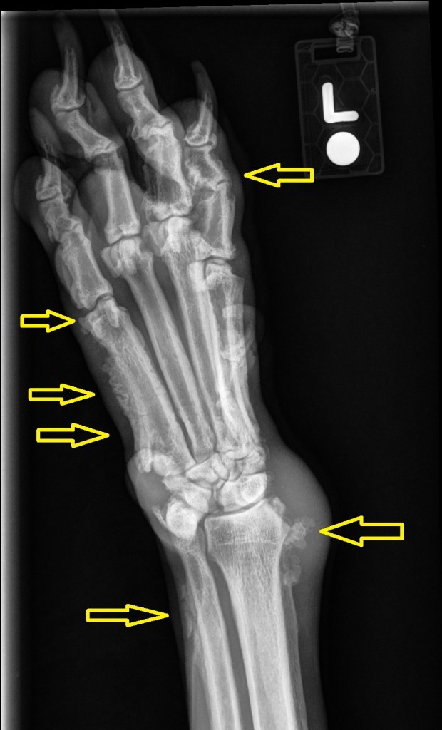
Findings:
Well-defined columnar/palisading periosteal new bone with swollen surrounding soft tissues can be seen along the abaxial surfaces of the diaphyses of the (bilateral) 2nd and 5th metacarpal bones (and the proximal and abaxial aspects of the adjacent proximal phalanges), the distolateral aspect of both ulna, distomedial aspect of both radii, and the medial aspect of both intermedioradial carpal bones.


